Insulinoma canino: las tristes causas de esta enfermedad pancreática

L ‘insulinoma canino es una forma de neoplasia localizada que daña el páncreas, que es un órgano que secreta insulina a través de dos glándulas importantes: la glándula exocrina y la glándula endocrina. La parte exocrina de la glándula produce enzimas digestivas que le permiten al perro procesar proteínas, carbohidratos y grasas.
Estas enzimas se encuentran en la porción del duodeno a través de un pequeño conducto donde las partículas de alimentos interactúan y salen del estómago. La parte endocrina del páncreas se encuentra en varios grupos de células presentes en el tejido pancreático conocido como Islas Langerhans. De hecho estas células producen hormonas, una de las más importantes es insulina.
Insulina se puede definir como «tren» ese «lleva«Los azúcares, básicamente el glucosa, desde el torrente sanguíneo hasta las células del cuerpo donde se utilizan comocombustible» que proporciona energía al cuerpo, especialmente al cerebro.
Cuando el nivel de azúcar en sangre aumenta, se produce una respuesta a una situación estresante y se libera insulina para suministrar azúcar en sangre a las células.

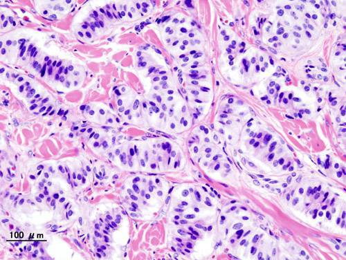
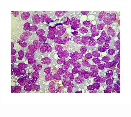
Cuando las celdas Islas Langerhans se vuelven cancerosos y aumentan el nivel de hormonas que producen, así como los niveles de insulina en el perro. Cuando el torrente sanguíneo del perro recibe una gran cantidad de insulina, los azúcares en sangre disponibles son transportados por el torrente sanguíneo a las células, lo que provoca una reducción marcada del azúcar en sangre del perro. Esta condición se conoce como hipoglucemia.
Contestar hipoglucemia el perro libera la cantidad de hormonas nombradas catecolamina y contrarrestan la hipoglucemia movilizando los azúcares disponibles y las fuentes de azúcar. L’insulinoma canino es casi siempre maligno y a menudo metastásico. La edad promedio a la que l’insulinoma puede desarrollarse en el perro se cierne alrededor del 9 años. Los perros más afectados son los de tamaño medio grande.
Perros con insulinoma manifestar una variedad de síntomas, incluyendo:
- Ataxia (falta de coordinación)
- Desorientación
- Embotamiento mental
- Cambios en la visión
- Convulsiones
- Colapso
- Muerte

Estos síntomas son el resultado de la aparición de hipoglucemia. inducido de la insulina. La formulación del diagnóstico de insulinoma Requiere varios elementos. Debe persistir una hipoglucemia bastante alta y esto podría resultar de la evaluación de múltiples muestras de sangre en ayunas y sin ayuno. Para tener una visión completa de la imagen sería recomendable realizar una prueba llamada «relación insulina glucosa modificado«. Este texto de la cantidad de insulina presente en el torrente sanguíneo frente a los niveles de glucosa. Pero el resultado podría ser normal para los valores de insulina y anormal es decir, bajo en glucosa.
Una forma correcta de identificación dell’insulinoma será la cirugía en la que el médico inyectará una solución intravenosa al 1% Blu metileno mezclado con solución salina. Las celdas dell’insulinoma absorberán el compuesto químico mientras que los tejidos circundantes no lo harán. En efecto l’insulinoma puede hacer metástasis en el perro Y existe la posibilidad de que se extienda a otras regiones del cuerpo del perro como:
- Ganglios linfáticos regionales
- Duodeno
- Hígado
- Mesenterio
- Bazo

obviamente este tumor es tratable y en las primeras etapas del proceso de la enfermedad sin duda será importante controlar la hipoglucemia administrando comidas pequeñas a lo largo del día para promover la estabilización del azúcar en sangre. Medicamentos, como yo corticosteroides, para elevar los niveles de azúcar en sangre. los diazossido se puede utilizar para prevenir la secreción de insulina.
Evidentemente, es fundamental controlar la hipoglucemia después y durante la cirugía porque el perro tendrá una probabilidad pancreatitis agudo y la pancreatitis es fatal. En la hipótesis remota el insulinoma sigue presente se indicará quimioterapia. Hay medicamentos en el mercado que previenen el crecimiento de metástasis, como estreptozocina que ataca directamente a las células beta, pero puede tener efectos secundarios tóxicos.
El pronóstico en la mayoría de los perros con insulinoma es reservado y a veces siniestro, este tumor casi siempre es metastásico y la probabilidad de supervivencia una vez diagnosticada varía de 6 a 24 meses. La cirugía, la quimioterapia y la dieta pueden reducir los efectos del aumento de la insulina y la consiguiente disminución del azúcar en sangre.

Por el contrario, la enfermedad inversa es precisamente la diabetes con hiperglucemia, incluso en este caso, el páncreas no funciona correctamente. También existen perros antidiabéticos que ayudan a muchas personas a controlar esta enfermedad,quién sabe que un día ni los perros en su contra no pueden estar preparados l’insulinoma.
BM


